Ứng dụng phẫu thuật robot đã mang lại hiệu quả khả quan và đánh dấu một bước tiến mới trong điều trị ung thư biểu mô tế bào thận có bướu huyết khối cho người bệnh tại Việt Nam.
Các bác sĩ Bệnh viện Bình Dân, Thành phố Hồ Chí Minh vừa phẫu thuật thành công cắt trọn bướu thận lớn có huyết khối bướu lan sâu 76mm trong tĩnh mạch chủ. Đây là trường hợp có huyết khối bướu lớn nhất được thực hiện bằng phẫu thuật robot hoàn toàn mà không cần phối hợp với mổ mở lấy huyết khối bướu như trước đây. Thông tin được Phó Giáo sư, Tiến sĩ, bác sĩ Trần Vĩnh Hưng, Giám đốc Bệnh viện Bình Dân chia sẻ ngày 10/10.
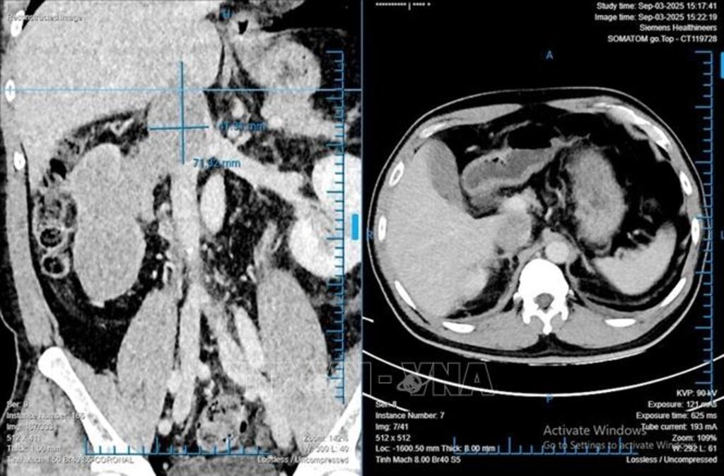
Trước đó, anh T.D.L (48 tuổi, quê Quảng Trị) phát hiện bướu thận trong lần khám sức khỏe định kỳ và tìm đến Bệnh viện Bình Dân để thực hiện phẫu thuật. Qua chẩn đoán hình ảnh, các bác sĩ nhận thấy bệnh nhân có một khối bướu lớn chiếm gần toàn bộ thận phải, kích thước 68x86x138 mm; huyết khối bướu lan sâu vào tĩnh mạch thận và tĩnh mạch chủ dưới. “Với khối bướu lớn và huyết khối bướu lan sâu như thế này, bệnh nhân có nguy cơ tử vong, tiên lượng thời gian sống trung bình của người bệnh chỉ khoảng 5 tháng nếu không được phẫu thuật kịp thời”, Tiến sĩ, bác sĩ Phạm Phú Phát, Trưởng Khoa Niệu A, Bệnh viện Bình Dân cho biết.
Sau hội chẩn, các bác sĩ Bệnh viện Bình Dân quyết định phẫu thuật cắt bướu bằng robot để tối ưu hiệu quả. Ca mổ kéo dài 8 giờ liên tục với sự phối hợp của 4 ê-kíp bác sĩ chuyên khoa tiết niệu, gan mật, tim - mạch máu và gây mê hồi sức. Các bác sĩ tiến hành di động gan, bộc lộ tĩnh mạch chủ đoạn sau gan, cắt bỏ toàn bộ thận phải cùng huyết khối bướu trong tĩnh mạch. Khác với phương pháp truyền thống cần phối hợp mổ mở để lấy huyết khối bướu, ca mổ của anh L. đã được thực hiện hoàn toàn bằng phẫu thuật nội soi robot.
Nhờ kinh nghiệm đã từng thực hiện hàng trăm ca cắt thận có robot hỗ trợ, Tiến sĩ, bác sĩ Phạm Phú Phát đã phẫu thuật thành công cho người bệnh với lượng máu mất chỉ 600 ml, hoàn toàn không cần truyền máu và giữ được toàn bộ đoạn tĩnh mạch chủ cho người bệnh. Sau mổ, người bệnh hồi phục tốt, được cắt chỉ và xuất viện sau 10 ngày.
Theo Tiến sĩ, bác sĩ Phạm Phú Phát, đây là trường hợp ung thư biểu mô tế bào thận (RCC) có huyết khối bướu lên đến 76 mm, lớn nhất trong số các trường hợp mà các bác sĩ từng phẫu thuật. Một báo cáo tại Hoa Kỳ cũng ghi nhận chiều dài huyết khối bướu lớn nhất mà họ thực hiện là hơn 70 mm.
Ung thư biểu mô tế bào thận là loại ung thư được chẩn đoán phổ biến thứ sáu ở nam giới và thứ mười ở nữ giới. Theo một công bố năm 2022, ước tính có 434.840 ca mắc ung thư biểu mô tế bào thận mới và 155.953 ca tử vong trên toàn thế giới. Tỷ lệ tử vong do ung thư biểu mô tế bào thận cao ghi nhận ở châu Âu và châu Á.
Theo các hướng dẫn điều trị quốc tế mới nhất, phẫu thuật là phương pháp điều trị ban đầu cho nhóm bệnh nhân này. Phẫu thuật cắt bỏ toàn bộ thận kết hợp lấy huyết khối bướu được Hội Tiết niệu châu Âu (EAU) khuyến cáo, nếu không được điều trị kịp thời, bệnh nhân có thể có triệu chứng như phù nề nghiêm trọng, rối loạn chức năng tim và đau bụng. Phẫu thuật có thể làm tăng tỷ lệ sống sót và cải thiện đáng kể chất lượng cuộc sống cho người bệnh. Tuy nhiên, các phương pháp phẫu thuật đòi hỏi kỹ thuật cao, tỷ lệ biến chứng lớn lên tới 34% nếu huyết khối bướu lan xa trên tĩnh mạch gan. Phẫu thuật robot là bước tiến mới, giúp giảm mất máu và giảm thời gian nằm viện cho bệnh nhân.
Ung thư biểu mô tế bào thận giai đoạn sớm có thể phát hiện bằng siêu âm, khi kích thước khối bướu chỉ 1-3 cm. Nếu phát hiện sớm, điều trị thuận lợi, tiên lượng tốt và chi phí thấp hơn rất nhiều so với phát hiện muộn. Đây là căn bệnh thường tiến triển âm thầm, ít triệu chứng ở giai đoạn đầu nên dễ bị bỏ qua, đến khi phát hiện thì đã rơi vào giai đoạn muộn.
Từ năm 2021, cắt thận tận gốc và lấy huyết khối bướu có robot hỗ trợ đã được triển khai tại Bệnh viện Bình Dân. Đến nay, tổng cộng có 7 trường hợp đã được thực hiện thành công, sức khỏe của các người bệnh sau phẫu thuật đều hồi phục tốt. Ứng dụng phẫu thuật robot đã mang lại hiệu quả khả quan và đánh dấu một bước tiến mới trong điều trị ung thư biểu mô tế bào thận có bướu huyết khối cho người bệnh tại Việt Nam./.
- Từ khóa:
- Đột phá
- phẫu thuật
- robot
- điều trị bướu thận


